时间:2023-07-31 23:30
人气:
作者:admin
场发射扫描电镜SEM5000正式上线使用

左侧设备为钨灯丝扫描电镜SEM3200
右侧设备为场发射扫描电镜SEM5000
近日,国仪量子场发射扫描电镜SEM5000交付中国农科院作科所重大平台中心并正式投入使用。
SEM5000可提供形貌观测服务:
(1)对于观测已经干燥的组织样品,可以直接在仪器预约平台上预约使用。
(2)需要进行干燥处理的新鲜组织样品,可以采用固定液固定后,送至平台预约样品处理。
(3)新鲜组织样品固定须知:
样品取材3毫米以内,采用戊二醛(动物组织)或者FAA(植物组织)固定液固定,可以采用真空泵辅助固定,提高固定效率。固定完成后的样品放置在2ml离心管内,补满固定液后送至重大工程楼115电镜室。
SEM5000性能特点
SEM5000是一款分辨率高、功能丰富的场发射扫描电子显微镜。先进的镜筒设计,高压隧道技术(SuperTunnel)、低像差无漏磁物镜设计,实现了低电压高分辨率成像,同时磁性样品可适用。光学导航、完善的自动功能、精心设计的人机交互,优化的操作和使用流程,无论经验是否丰富,都可以快速上手,完成高分辨率拍摄任务。

01
分辨率高,低加速电压下实现高分辨成像
02
电磁复合物镜,减小像差,显著提高低电压下的分辨率,而且可观察磁性样品
03
高压隧道技术(SuperTunnel) ,在隧道中的电子能保持高能量,减少了空间电荷效应,低电压分辨率得到保证
04
电子光路无交叉,有效的降低系统像差,提升分辨能力
05
水冷恒温物镜,保证物镜工作的稳定性、可靠性和可重复性
06
磁偏转六孔可调光阑,自动切换光阑孔,无需机械调节,实现高分辨率观察或大束流分析模式快速切换
测试样品展示

SEM5000拍摄的发育中的真菌孢子

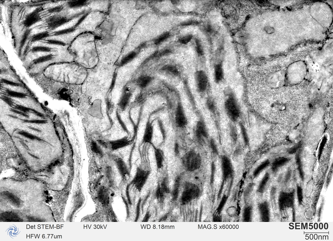
SEM5000 STEM模式拍摄的水稻叶片叶绿体

SEM5000拍摄的水稻胚乳
中国农科院作科所重大平台中心
中国科学仪器自主创新应用示范基地中国仪器仪表学会科学仪器设备验证评价中心
本文转载自公众号:ICS重大平台中心
下一篇:国仪慕尼黑上海分析生化展圆满收官