时间:2024-01-02 13:32
人气:
作者:admin
在介绍CLAHE算法之前必须要先提一下直方图均衡化,直方图均衡化算法是一种常见的图像增强算法,可以让像素的亮度分配的更加均匀从而获得一个比较好的观察效果。
如下图就是经过直方图均衡化后的效果图。
import cv2
import numpy as np
from matplotlib import pyplot as plt
img = cv2.imread(r'E:python_image_simpythonProjectsimimgFig0459(a)(orig_chest_xray).tif', 0)
img = cv2.resize(img, (500, 500))
equ=cv2.equalizeHist(img)
res = np.hstack((img, equ))
# stacking images side-by-side
cv2.imshow('img', res)
cv2.waitKey()
cv2.destroyAllWindows()

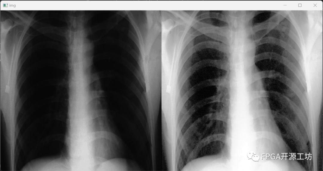
左边是原图,右边是经过直方图均衡化后图,可以看到肋骨什么的可以更加清晰的显示了出来,能够更好的观察到肋骨等位置的细节。
但是美中不足的是总感觉有的地方太亮了,干扰到了我们的观察。
这是因为直方图均衡化有着两个问题:
直方图均衡化是针对全局进行处理的,所以当局部出现过亮或者过暗的时候就会影响效果。
直方图均衡化会增强噪声。
再来看看经过CLAHE算法后的效果。
import cv2
import numpy as np
from matplotlib import pyplot as plt
img = cv2.imread(r'E:python_image_simpythonProjectsimimgreast_digital_Xray.tif', 0)
img = cv2.resize(img, (500, 500))
equ = cv2.equalizeHist(img)
cla = cv2.createCLAHE(2, (5, 5))
# cv2.ahe
cla = cla.apply(img)
res = np.hstack((img, equ, cla))
# res = np.hstack((img, equ))
# stacking images side-by-side
cv2.imshow('img', res)
cv2.waitKey()
cv2.destroyAllWindows()


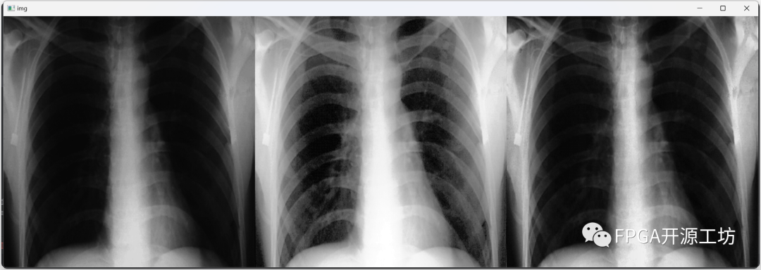
最左侧为原图,中间为直方图均衡化后的结果,最右侧为CLAHE算法的效果。
从视觉效果上来看,CLAHE算法的效果最为明显。
CLAHE算法针对上面两个问题,提出了相应的解决方案:
CLAHE会将图像分成一个一个的小块,这样在局部进行直方图均衡化。
针对背景噪声增强的问题,CLAHE算法应用了限制对比度的方法。
CLAHE算法的实现步骤分为以下三个部分:
对图像进行分块
对每个块进行直方图均衡化和限制对比度
使用插值的方法得到最后增强的图片
审核编辑:刘清
Fidus Sidewinder-100集成PCIe NVMe 控制系统,有