时间:2023-05-23 11:16
人气:
作者:admin
内容转载自神外资讯,第一作者宁波大学附属第一医院神经外科林静辉副主任医师
脑血运重建手术是目前治疗成人烟雾病的主要方法。术中确定直接血运重建后吻合口的通畅性是手术成功的关键因素。红外热成像是一种现代成像模式,具有用于采集和分析热数据的非接触式设备。我们旨在研究红外热成像技术在成人烟雾病手术中确定吻合口通畅性的可行性和优势。
艾睿光电AT1280红外热成像仪拍摄效果
通过对21例接受颅外-内搭桥手术的成人烟雾病患者术中应用吲哚菁绿视频血管造影和红外热成像研究后发现,与ICG荧光素成像相比,红外热成像增强了手术的安全性,无需造影剂,清晰显示吻合口血流情况,可随时、重复、多次使用。

研究过程中,我们使用了艾睿光电AT1280红外热成像仪,通过被动地检测红外发射,对整个大脑皮层的局部温度梯度进行成像。我们将室温保持在23℃,以尽可能保持皮质表面的背景温度。吻合术完成后,红外成像系统的高分辨率红外热成像摄像机被设置在大脑斜上方500毫米处,以连续监测血流,时间长达3分钟,包括放置和释放血管阻塞夹的时间。

图2. 右侧STA-大脑中动脉(M4)分流手术期间的红外热成像。(A1-C1)血管夹释放前和释放后不久的红外热成像图像。(A2-C2)放大的视图与上图相对应(黑色箭头表示STA,红色圆圈表示供体和受体血管的吻合处)。
图2展示了一例右侧STA-MCA(M4)旁路手术期间获得的红外热成像图像。在释放血管阻塞夹之前,吻合口和供体血管(STA)的温度较低,几乎没有血液流经吻合口,对应于图2A1、2中的黑暗区域。在释放血管夹后,从供体血管流入吻合口的血液温度相对于大脑皮层较低,在图2B1、2中清晰可见,表明吻合口通畅良好。此外,远端分支血管在热成像中出现了一瞬间的黑暗影像,表明从供体血管向大脑皮层有正向的血流。图2C1、2显示了释放血管阻塞夹后4秒的情况。所有血管都变成了彩色。证明了再灌注的成功,并表明红外热成像可以正确评估吻合口通畅性。

图3. ICG-VA和红外热成像的比较。
图3显示的是对每个烟雾病患者进行了红外热成像后,通过与ICG评估相比较的结果。在ICG注射后,ICG被可视化,明确确认了血管吻合口的通畅性,并且在同一患者的红外热成像结果也显示了相同的结果。在我们的研究中,共有21名患者接受了相同的治疗。在20名患者中,红外热成像的结果显示血管吻合口通畅,并且与随后的ICG-VA结果达成了一致。通过将红外热成像技术的结果与ICG评估结果进行比较,证实了红外热成像技术的有效性。

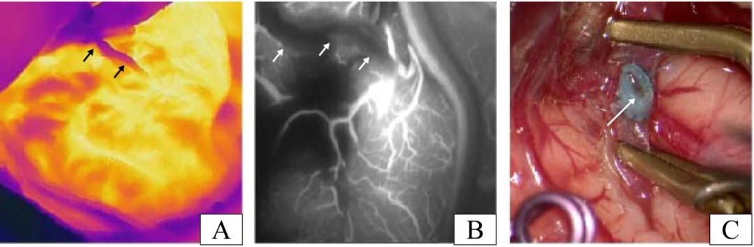
图4. 一位血管吻合口不通畅的患者。(A)该患者释放血管夹后的红外热成像结果(黑色箭头表示STA)。(B)该患者释放血管夹后的ICG-VA图像结果(白色箭头表示STA)。(C)在剪开颞浅动脉后发现血栓,是导致该病例血管吻合口不通畅的原因(白色箭头表示吻合口的血栓)。
其中一名患者术中应用红外热成像评估后怀疑吻合口通畅性不足,而吻合口的ICG-VA评估结果证实确实存在吻合口梗阻(图4A,B)。打开颞浅动脉观察吻合口内部情况后,从图4C可以看到血栓,我们考虑该血栓形成是本例吻合口梗阻的原因。这进一步证明了红外热成像和ICG-VA在评估吻合口通畅性方面的一致结果。随后,该病例通过拆除吻合口并清除血栓后重新进行了吻合。
结论:与ICG-VA相比,红外热像仪可能为评估吻合口通畅性提供一种非侵入性、无造影剂、可不间断反复使用的选择,与ICG-VA相比,它可能在不久的将来在临床脑血流动力学检测领域得到更广泛的应用。
上述研究发表于Frontiers in Neurology