时间:2022-05-31 19:24
人气:
作者:admin
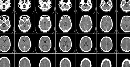
Jorge Cardoso拥有很多头衔,但他确实名副其实,因为他有很多“大脑”。确切地说,总共有十万个。
Cardoso是教师、CTO、企业家,也是 MONAI 开源联盟的创始成员以及医学影像AI领域的研究人员。作为上述最后一个角色,Cardoso和他的团队发现了利用AI创建高分辨率的人脑真实 3D 图像的方法。
这位伦敦国王学院的研究人员兼伦敦 AI 中心的CTO为医疗健康研究人员免费提供了10万张合成大脑图像。这是一个宝库,可以加速人类对痴呆症、衰老或各类脑部疾病的认知。

“过去许多研究人员避免涉足医疗健康领域,因为他们无法获得足够多良好的数据,但现在可以了,”Cardoso说。
“我们希望将AI研究引入医疗健康领域。”他说。
与全球最大的免费大脑图像库相比,这是一笔重大捐赠。UK Biobank目前保存着来自5万多名参与者的多张大脑图像,估计成本为1.5亿美元。
这些图像代表了合成数据在医疗健康领域的一个新兴分支。合成图像此前已经广泛应用于消费者和商业应用的计算机视觉领域,而实际上这些领域本身已有包含数百万张真实图像的开放数据集可供使用。
相比之下,医学领域可供使用的真实影像反而稀缺。出于保护患者隐私的需要,医学影像通常仅供与大型医院相关的研究人员使用。即便如此,这些影像往往也只能反映医院所服务的人群,而非范围更广的人群。
这种新型AI方法的重要特征是,它可以根据需要制作图像。女性大脑、男性大脑、老年人的大脑、年轻人的大脑、患有疾病或健康的等等,只需插入所需内容,系统就会进行创建。
虽然这些图像是模拟生成的,但非常实用,因为它们保留了关键生物特征,所以外观和运作方式与真实大脑高度相似。
这项工作需要可以运行超级软件的超级计算机。
NVIDIA Cambridge-1 是致力于在医疗健康领域取得突破性 AI 研究的超级计算机,充当引擎。MONAI 是用于医学成像的 AI 框架,充当软件燃料。
它们共同创建了用于合成数据的 AI 工厂,让研究人员能够运行数百个实验、选择最优的 AI 模型并运行推理以生成图像。
Cardoso 说:“如果没有 Cambridge-1 和 MONAI,我们不可能完成这项工作,一切都不会发生。”
这些年来,英伟达不断加大在医疗健康领域的投资力度。我们期待看到科研人员们在英伟达地支持下挖掘出AI与医疗健康研究结合的更多潜力,改变医疗未来。
NVIDIA DGX SuperPOD Cambridge-1 配备 640 个 NVIDIA A100 Tensor Core GPU,每个 GPU 均具有足够的显存,可以处理团队海量图像中一或两张包含 1600 万个 3D 像素的图像。
MONAI 的基础模组包括特定领域专用的数据加载程序、指标、GPU 加速转换和经过优化的工作流引擎。Cardoso 表示,该软件的智能缓存和多节点扩展最高可将作业加速 10 倍。
他还称赞了 cuDNN 和“助力我们提高工作效率的整个 NVIDIA AI 软件栈。”
Cardoso正与国家级资源库英国健康数据研究所合作,托管 10 万张大脑图像。这一AI 模型也将提供给研究人员用于创建所需的图像。
不仅于此,团队还在探索这些模型如何在医学成像模式下(MRI、CAT 或 PET 扫描等)为人体任意部位生成 3D 图像。
“事实上,这项技术可以应用于任意体积图像,”他说。Cardoso还指出用户可能需要针对不同类型的图像来优化模型。
一提到合成图像技术的应用前景,Cardoso便暂时从繁杂思绪中抽离出来,开始热情地介绍。
合成图像将帮助研究人员了解疾病如何随时间推移而发展。与此同时,Cardoso的团队仍在探索如何将这项工作应用于大脑以外的身体部位,以及何种合成图像(MRI、CAT、PET)更实用。
这些可能性令人雀跃,而且,正如Cardoso的许多角色一样,“它可能有点让人不知所措,”他说。“我们现在可以开始思考很多不同的事情。”